Leucemia 118 diciembre 21, 2021 4:10 am Published by Agustín Sarich Leucemia: relación médico-paciente
Leucemia 183 noviembre 15, 2021 5:02 pm Published by Agustín Sarich Leucemia Aguda y trasplante de médula ósea
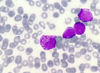
72 octubre 5, 2021 5:21 pm Published by Francisco Pasman Novedades en los tratamientos de la Leucemia
103 octubre 5, 2021 5:18 pm Published by Francisco Pasman Avances del tratamiento contra la Leucemia asociado al trasplante de médula ósea
97 octubre 5, 2021 5:15 pm Published by Francisco Pasman ¿Cuáles son los síntomas de la Leucemia Aguda?
63 octubre 5, 2021 5:02 pm Published by Francisco Pasman Importancia de los controles Oncohematólogicos
119 octubre 5, 2021 4:48 pm Published by Francisco Pasman Importancia del diagnóstico temprano en la hematología
93 octubre 5, 2021 4:31 pm Published by Francisco Pasman ¿Qué es la Sociedad Argentina de Hematología?
90 octubre 5, 2021 4:27 pm Published by Francisco Pasman A.L.M.A: ¿Cuál es la mayor demanda de necesidades?
94 octubre 5, 2021 4:23 pm Published by Francisco Pasman A.L.M.A: Cómo ayudan a los pacientes con Leucemia?